
Daar sta je dan… Verwijfeld, beduusd en helemaal perplext… Je had een echo verwacht met een positieve uitkomst en geen miskraam… We wilden snel de hele wereld vertellen over de komst van ons vierde kindje. Het slechte nieuws was nog niet tot me doorgedrongen, al konden we niet om de brute waarheid heen….. Er komt geen kindje op 29 december, de uitgerekende datum…. Mijn lichaam stoot het bevruchte eitje af. Dit had ik even niet zien aankomen….
Miskraam
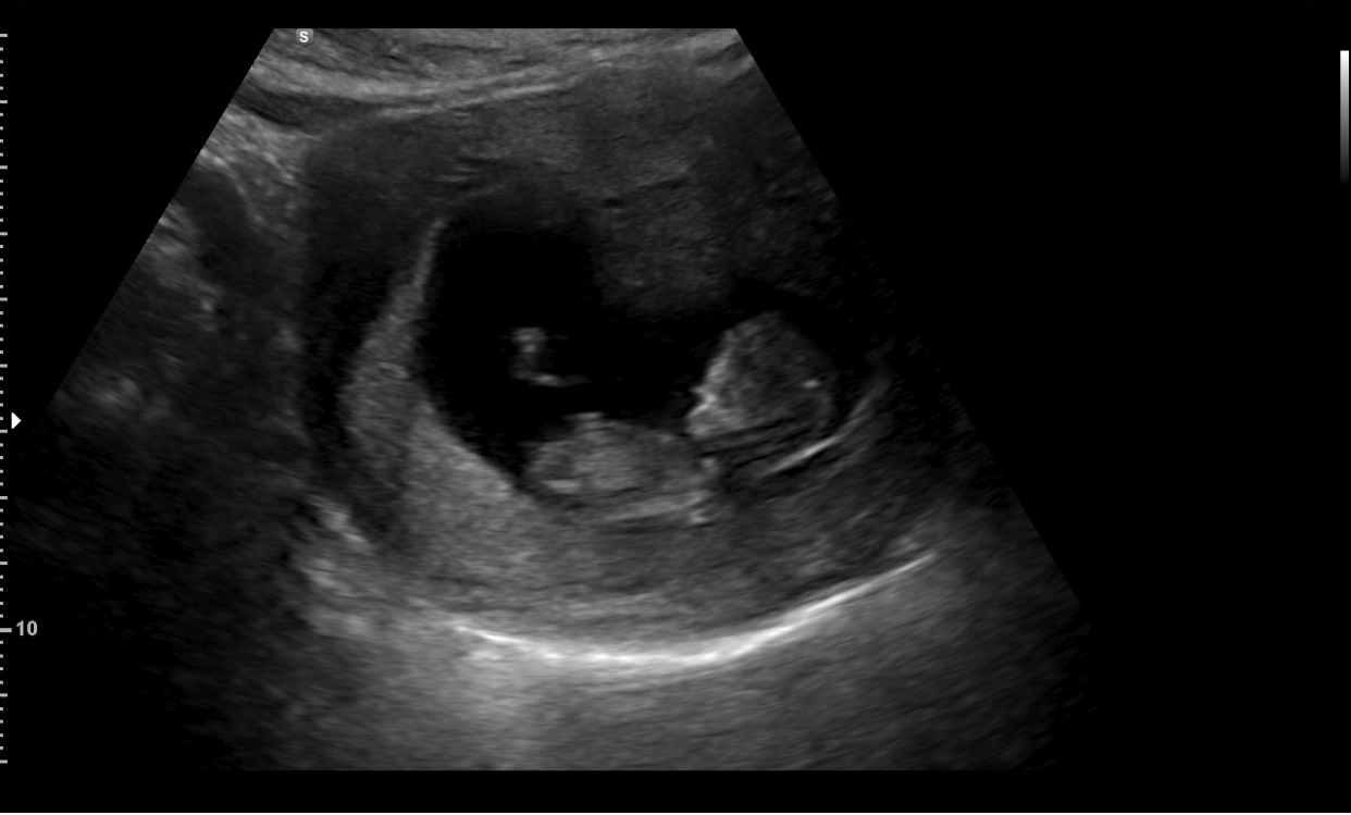
Het bloedverlies dat ik de paar dagen voor mijn 12-weken echo had, is een teken van een ‘miskraam in wording’ wist mijn verloskundige mij te vertellen nadat ze op de echo een lege embryo zag. Wist ik veel wat me te wachten stond. Een buitenbaarmoederlijke zwangerschap was misschien wel het heftigste dat ik ooit had meegemaakt. Dat zou dit niet zijn. Destijds had ik een dermate bloedverlies dat alle alarmbellen af gingen. Deze keer verwachte ik een natuurlijke menstruatie, al bleek dit toch even anders te zijn. Hoe stom had ik kunnen zijn om in mijn eentje met drie jongen bandito’s weg te gaan. Een miskraam bij 12-weken had ik nooit eerder ervaren…
Had ik maar…
Ik had thuis in bed moeten blijven liggen dat weekend. Toch was ik op pad gegaan. Het leek me zo’n goed idee. De teleurstelling verwerken van een miskraam, de onvervulde wens afsluiten, het afscheid nemen van een eventuele vierde… het was toch niet zo heel verstandig. Wat ik die drie dagen heb meegemaakt gun je niemand. In mijn onwetendheid ging ik met de kindjes naar de Miniclub op de camping om te knutselen en banjerde ik vrolijk achter ze aan. Ik voelde steken in mijn buik, “maar dat hoort er bij” dacht ik. Tot ik opstond en het bloed langs mijn benen zag stromen. De paniek in mijn ogen sprak boekdelen.
Zwaar bloedverlies
Mijn kindjes heb ik weggetrokken bij de knutseltafel en in snelvaart gingen we terug naar ons plekje. Het had niet veel gescheeld of ik lag K.O op de grond. Als je lichaam in korte tijd zoveel bloed verliest bij een miskraam, is dat echt niet goed. Mijn kids snapten er niets van, zo kenden ze mama niet. Had ik maar naar mezelf geluisterd en was ik gewoon thuis gebleven…

Dweil…
Ik was een dweil en kon me 2 dagen nauwelijks voortbewegen. Dit had ik de kinderen zo willen besparen. Ze zijn in een weekend plotsklaps een stuk ouder en zelfstandiger geworden. Met de kleintjes meelopen naar het toilet ging eenvoudigweg niet. Ik moest platliggen, want als ik me ook maar iets vooruit bewoog ging het fout.
Het regende, er was geen toilet in de buurt en bij het opstaan werd ik duizelig. Douchen deed ik alleen, terwijl de kindjes buiten om het gebouw heen fietsen. Door steeds te gaan zitten, wist ik mezelf te vermannen. De kids hebben nog nooit zoveel geknutseld, getekend en buiten de caravan gespeeld.

‘Hoe kom ik thuis‘, was het enige dat ik dacht, terwijl ik drie kids probeeerde klaar te maken om te gaan slapen. Morgen zou ik proberen om huiswaarts te gaan, bedacht ik me elke keer weer. Dit zal het wel zijn en ik zal aansterken, al liet mijn lijf me nog zo’n 48 uur in de steek.

Naar huis
De caravan is een aardige afstand lopen naar de auto en sjouwen met tassen ging gewoonweg niet. Ik kon niemand vragen om me te helpen, Bakkum is nu niet om de hoek en iedereen die ik kende was weg dat pinksterweekend. Ik voelde me alleen en aangezien we ook geen elektriciteit hadden, was mijn telefoon ook in rap tempo leeg.
Ik was boos, verdrietig, voelde onmacht en haalde alle oerkracht in me naar boven om de kindjes eten te kunnen geven en bezig te houden. “Maar waarom belde je me niet, vroeg een vriendin recent” Nou eigenlijk omdat ik elke keer dacht dat het hier wel bij bleef en ik niet wist wat gebeuren ging. Het was pinksteren, iedereen had plannen en medelijden wilde ik al helemaal niet. Een miskraam is iets dat meer vrouwen zijn overkomen, het is geen wereldramp, hield ik me voor
Verdriet
En tuurlijk… het waren maar 12 weken dat ik zwanger was. Als je kindje levensvatbaar is, is het erger om je kindje te verliezen. Ik weet de miskraam te relativeren, maar dat neemt niet weg dat ik er verdrietig om ben. Het moet een plekje krijgen en dat zal komen.. met de tijd. Dat weekend alleen met de kids heb ik wel besloten om intens te genieten van elkaar, het samenzijn en van wat we samen hebben.

Liefs Olivette
Olivette is ook actief op Twitter | Facebook | Youtube | Instagram We vinden het superleuk als je een berichtje achterlaat






2 comments